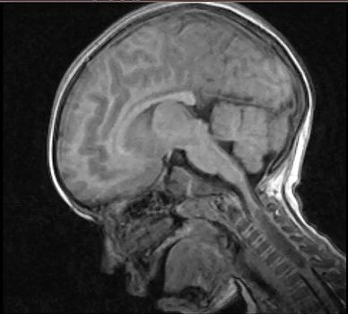
This 4-year-old-girl from Venezuela presented with severe neck pain and weakness on the left side of her body. Imaging studies revealed a space-occupying lesion involving her cervical spine.

Given the imaging results, a biopsy was performed, and the tumor initially interpreted as a grade 2 astrocytoma. The specimen was sent to Dr. Zambrano's team for additional review.

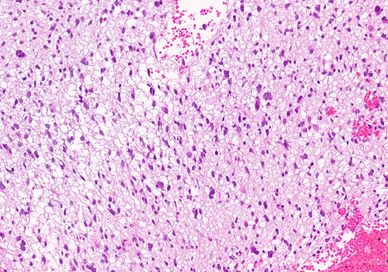
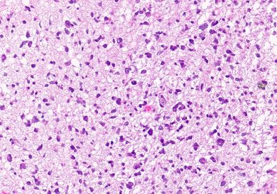
Histologic sections show a cellular neoplasm with moderate atypia/ pleomorphism.

No significant mitotic activity or areas of necrosis are identified.

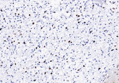
Immunohistochemical staining reveals loss of H3K27Me3 expression by neoplastic cells.
In view of these results, the tumor was reclassified as a pediatric-type high-grade glioma (courtesy of Dr. Daniel Marker, UPMC Neuropathology Center of Excellence) and the specimen was submitted for additional methylomic studies.
Methylation profile indicated a match to diffuse midline glioma H3 K27M mutant with a high confidence score, and the tumor was classified as a diffuse midline glioma, H3 K27-altered, CNS WHO grade 4.
Following reclassification of the tumor from a grade 2 to a grade 4 malignant neoplasm, the patient’s treatment protocol was modified, and radiotherapy was added.
Unfortunately, this little girl ultimately succumbed due to relentless progression of her highly aggressive tumor.
Copyright © 2024 Little Boxes of Hope - All Rights Reserved.
Powered by GoDaddy
We use cookies to analyze website traffic and optimize your website experience. By accepting our use of cookies, your data will be aggregated with all other user data.